top of page
Jeeyoung Han - The Artist Dentist
Create Your First Project
Start adding your projects to your portfolio. Click on "Manage Projects" to get started
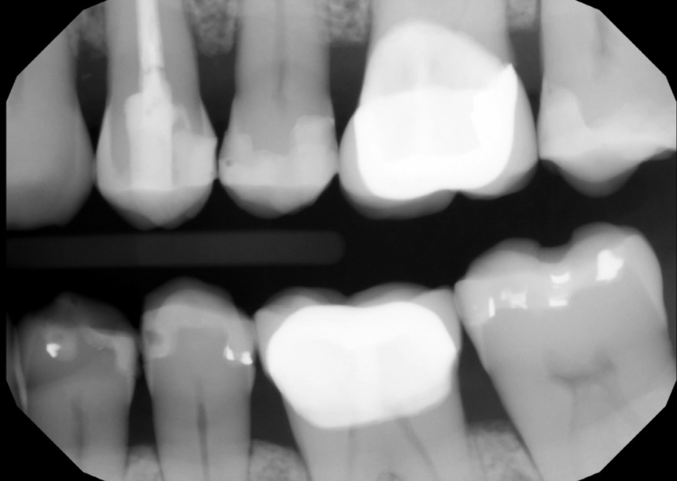
NS-RCT 2-Canal premolar
Portland, OR
Portland, OR
Pt presented with symptomatic irreversible pulpitis with normal apical tissue, due to secondary caries involvement. Unfortunately, there was a file separation at the apex due to the curvature. Since tooth was still vital, the prognosis of NS-RCT was still good according to literature. Pt was informed all the risks and prognosis. All NS-RCT and core B/U was done in one session.
Spring DS3








bottom of page
