top of page
Jeeyoung Han - The Artist Dentist
Create Your First Project
Start adding your projects to your portfolio. Click on "Manage Projects" to get started
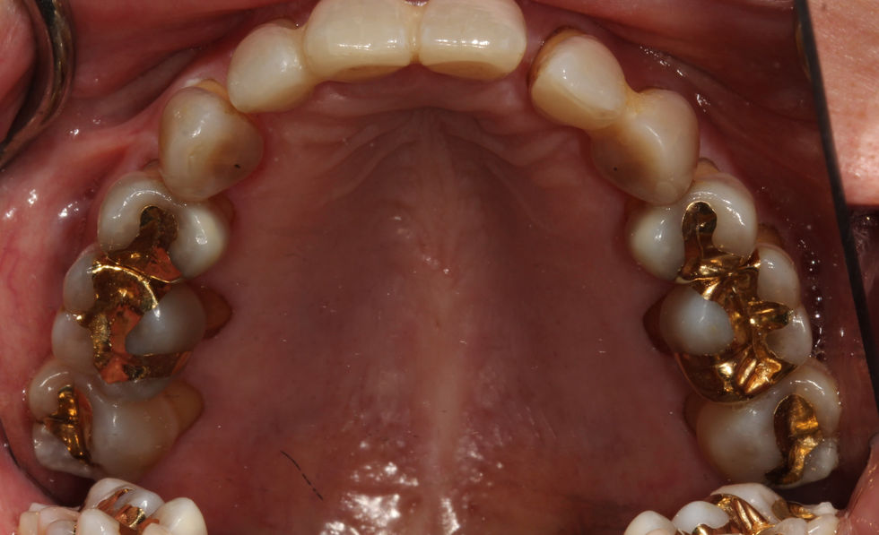
AOX W ceramic implants
Project type
AOX case full upper and lower
Date
MArch 2025
Location
Lake Oswego
AOX upper and lower done with full ceramic screw retained implants w Yomi Robot guide.




































































bottom of page

