top of page
Jeeyoung Han - The Artist Dentist
Create Your First Project
Start adding your projects to your portfolio. Click on "Manage Projects" to get started
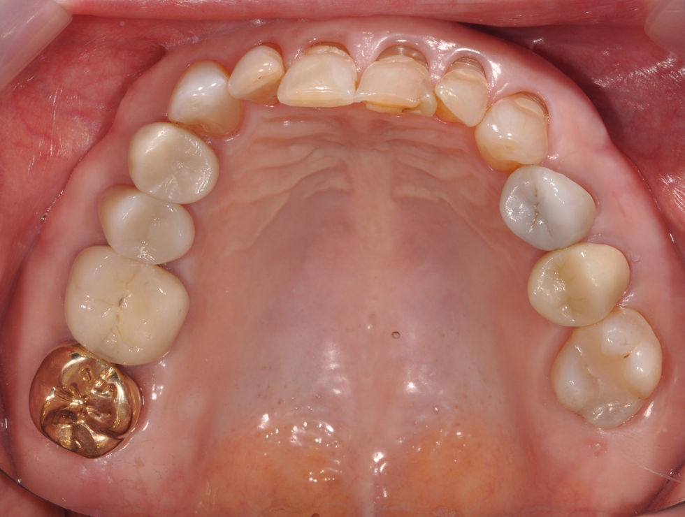
#6-12 eMax single crowns
Type
Fixed Prosthodontics
Date
March 2022
Location
Portland, OR
Pt presented with retroclined incisors with erosions and failing composite patch works. Pt expressed interest in improving smile. To help with pt acceptance, no prep intra oral mock up provided with intra-oral matrix made from wax up model. Crown removal/prep 1 session (2.5hr appointment), scan/temporization 1 session, delivery 1 session.
Digital design with 3 shape, cut back, stain, glaze all done in house by me.
Spring DS3






































bottom of page
